Reporter
E-novice
Digitalna naročnina
Reporter
Naroči

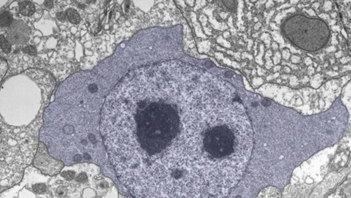
Rakava obolenja so stara več kot 600 milijonov let


Mednarodna skupina znanstvenikov je dokazala, da so rakavi tumorji zelo stara sistemska bolezen, ki je nastala pred več kot 600 milijoni let. Predstavitev znanstvenega prispevka, ki je bil objavljen v časopisu Nature Communication, je v Zagrebu pojasnil vodja skupine, hrvaški evolucijski genetik Tomislav Domazet Lošo.

rak-gen-mezo.jpg
Reuters

STA
 

Velikost pisave

Manjša
Večja
 

"Pri iskanju porekla gena raka, ki povzroča tumorje, smo nepričakovano ugotovili, da mnogi geni izvirajo že iz prvih živali," je dejal Domazet Lošo v torek na novinarski konferenci v Zagrebu. Raziskava je potekala tri leta v sodelovanju z njegovim kolegom Tautzom Diethardom z nemškega inštituta Max Planck.

Lošo je poudaril, da sta z Diethardom domnevala, da so prve večcelične živali imele gene, ki lahko povzročajo rak pri ljudeh. Pogrešala pa sta eksperimentalni dokaz, da so lahko imele prve živali karcinom, kot tudi pojasnitev mehanizma za oblikovanje karcinoma pri teh enostavnih organizmih.

Raziskave so izvajali na hidrah, majhnih živalih, ki živijo v vodi, njihove matične celice pa se nenehno razmnožujejo in se ne starajo kot pri drugih organizmih.

Ugotovili smo, da obstaja naravni karcinom v ženskih polipih hidre, ki je podoben raku jajčnikov pri ženskah. Ti tumorji pa imajo globoke evolucijske korenine, je dejal 40-letni hrvaški znanstvenik z zagrebškega Instituta Ruđer Bošković.

Kot je poudaril, je boj proti karcinomom omejen, izidi nove raziskave pa lahko pomagajo pri zastavljanju nove strategije v boju proti tej težki bolezni.

"Doslej smo verjeli, da lahko izkoreninimo karcinom, vendar pa korenine tega zla segajo globoko v evolucijsko zgodovino, v sam začetek oblikovanja življenja. Pratumorji, ki smo jih odkrili, kažejo, da je sovražnik veliko hujši, kot smo mislili, a nam odpirajo možnost, da ga bolj spoznamo in zmagamo v mnogih bitkah," je še dejal Lošo.

Leta 2007 je objavil metodo genomske filostratigrafije, ki kaže, da ima vsak danes živi organizem v svojemu genomu zapis o svoji evolucijski zgodovini.

Ključne besede
Reporter

Ostanite obveščeni


Prejmite najboljše vsebine iz Reporterja neposredno v svoj poštni predal.

REPORTER MEDIA, d.o.o. © 2008-2025

 

Vse pravice pridržane.